 |
1)美容歯科(審美歯科) |
|
< 美容外科医との連携 >
当クリニックの美容歯科は、十数年前から美容外科医との連携をとりながらおこなっております。
一般的審美診療にありがちな、単に歯の色や歯並びを綺麗にするというだけでなく、お顔全体から分析を進め、その方にあった歯並びを模型上で作成する、極めて重要な手順から始まります。
治療の際は、実際にお口の中で仮歯をドクターがデザインします。ご本人に確認していただき、ご希望があれば修正を加えます。納得された上でその歯形をとり、できるだけそのとうりに技工士さんに作ってもらいますので形状のエラーがほとんどありません。
美容歯科診療は、某有名モデル事務所と提携、当院で治療させていただいたモデルさんがテレビや雑誌で活躍されています。
| |
治 療 方 法 |
治 療 費 |
| 1 |
歯並び:一般的矯正(この場合は矯正の専門医が治療にあたります)
|
630,000円〜 |
| 2 |
歯並び:補綴適矯正 ハイブリッドセラミック
歯並び:補綴適矯正 セラモメタル |
63,000円〜
105,000円〜
|
| 3 |
歯の色:ブリーチング |
上下31,500円 |
| 4 |
歯の色:ラミネートベニア(セラミックの薄いシェルをはって白く) |
63,000円 |
| 5 |
歯肉の黒ずみ(メラニン色素)除去 |
上下10,500円 |
|
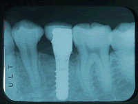
2)インプラント治療 |
| |
< 術後約一ヶ月半で治療終了 >
インプラントといっても車と同じで様々なものがあります。当院では、スイス製のITIインプラントを用いています。特色は一回法といって手術が一回ですむこと、手術後約一ヶ月半で治療が終わること(GBRなど特殊な治療をしない場合)です。
私は自分でおこなう範囲を決めており無理な手術は極力さけるようにしております。範囲を超えた場合は大学病院やさらに専門性に長けた先生を紹介させていただきます。車で例えればインプラントは高性能のスポーツカーです。ドライブテクニックがある人が、運転すれば素晴らしい性能を引き出せますが、未熟な人が運転すると返って大事故を引き起こしてしまいます。インプラント治療は物を買うわけではありませんので、費用だけで決められるのは不安があるかもしれません。
(治療費用が安いにこしたことはありませんが・・・)
治 療 方 法
|
治 療 費
|
1本のみ・・30万(インプラントの費用+上にくる歯の費用を含む)
|
315,000円〜
|
| 2本 |
525,000円〜
|
| 3本 |
630,000円〜
|
*参考として例えば奥歯が2〜3本ない場合は、インプラントを2本使用し、治療期間は約2ヶ月、費用は全部で50万円となります。
|
| 3)プラセンタを用いた治療 |
| |
< 患者様と合意の上で、保険診療外 >
日本内外でも古来より秘薬とせいて珍重されてきたプラセンタですが、最近様々な病気に効果があることが判ってきております。その薬理効果から当院では歯周病、顎関節症の一部、講習、インプラントなどの手術後の経過をさらに良くするなどの目的に使用しています。
|
| 4)お年寄りを視野に入れた治療体系 |
| |
< 高齢化社会への対応 >
現在想像を上回るスピードで日本は超高齢化社会に突入しつうあります。その中で老人も元気な老人とそうでない方にわけられます。元気なお年寄りにはインプラントを用いた入れ歯で、さらにQOLをあげていただき、そうでないお年寄りには訪問診療などで徹底したケアーを行い、誤嚥性肺炎などで苦しんでだりされないように心がけたいと思います。
当院も昨年から特別養護老人ホームにいかせていただき、まだまだ勉強中ですが少しでもお年寄りの健康に寄与できればと努力しております。又少しでも介護保険の理解を深めたり、施設のスタッフとコミュニケートがとれやすいよう昨年介護支援専門員(ケアーマネージャー)の資格をとっております。 |
| 5)高い技術を生かした保険治療 |
| |
< 自費治療と同じ手順で >
歯科の保険治療には様々な制約があり、また使用する材料も理想的とはいえません。しかし、国民に多くが諸外国と比較するとはるかに安い費用で治療が受けられるこの制度にも大きなメリットがあります。材料の制限などに対しては精度の高い補綴物を心がけることでかなりカバーできます。いくら高価なゴールドを用いても精度が悪ければすぐに虫歯になってしまうかもしれません。特に当院では前歯の治療に関しては、自費治療と同じ手順で仮歯を作成して治療をすすめています。
|
| 最後に |
| |
< メリットとデメリット >
歯科治療も当然医療行為です。医療行為では必ずメリットとデメリットが存在します。
例えば、歯並びに強いコンプレックスを持っているため人と会うのがおっくうで消極的な人生を送るよりも、歯を削る、神経を取る、場合によっては歯を抜くといったことを行っても、コンプレックスから解放され、前向きの人生や素敵な人との出会いが増えればそれなりに意義があると思われます。ただし人から言われたからといった程度でこのような治療は絶対にするべきではありません。このようにメリットとデメリットを天秤にかけてあるかにメリットがデメリットを上回る場合にのみその治療法を選択されることをお勧めいたします。 |